Rugsėjo 9 dieną kartu su biochemijos profilio klase dalyvavome VU Geomokslų instituto rengtame seminare „Mikropaleontologinių tyrimų objektų demonstravimas mikroskopu“. Šiame seminare mums papasakojo, kaip detomėjos ir žiedadulkės yra naudojamos vandens telkinių ekologinės būklės praeityje atkūrimui. Detomėjos yra naudojamos tyrinėjant vandens telkinius ir praeityje vykusius pokyčius, kurie yra susiję su klimatu. Žiedadulkės su vėju ar lietumi taip pat patenka į vandens telkinius, nuneštos prie ežerų nusėda ir yra vadinamos nuosėdomis, kurios išlieka ant žemės. Detomėjos ir žiedadulkės yra naudojamos geologijoje ir žemės praeities tyrimams.
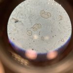
Detomėjos – tai vienaląstis dumblis, gyvuojantis planktone, vandenyje. Detomėjų randama visur, kur yra glitus paviršius: ant akmenų, akvariumo stiklo ir net ant vandens gyvūnų. Detomėjų nuosėdos matuojamos nuosėdų stulpeliais. Yra skirtingi nuosėdų matavimo stulpeliais būdai. Vienas jų – rankiniu grąžtu ištraukiamos nuosėdos. Kuo giliau įstatomi stulpeliai ar įgręžiami grąžtai, tuo senesnių laikų duomenis mes sužinome.
Žiedadulkės turi daugybę įvairių formų, pagal kurias yra lyginamos ir nustatoma, koks tai augalas. Kadangi žiedadulkės yra labai subtilus dalykas, tam, kad į jas pažiūrėtume, reikia didinti mikroskopo vaizdą net keturis šimtus kartų. Žiedadulkes galima tyrinėti nuosėdų kolonėlėmis. Labiau įsigilinus galima suprasti, kaip per ilgą laiką keitėsi šilumamėgiai augalai, tam tikros žolių rūšys, ir iš to sprendžiama, kuriuo laikotarpiu ir kokiame klimate atsirado žiedadulkių nuosėdų. Pagal augalijos sudėtį dažniausiai nustatomas klimatas, oro temperatūros, kritulių kiekis, dirvožemio tipas.
Manau, įdomiausia buvo stebėti detomėjas ir žiedadulkes per tūkstančius kartų didinantį mikroskopą. Vos žvilgtelėjus pro mikroskopo okuliaro lęšį, matėsi nuostabūs vaizdai. Detomėjos ir žiedadulkės atrodė išties įspūdingai. Ir kas galėjo pagalvoti, kad tokios menkos gamtos dalelės gali atrodyti kaip tikri meno kūriniai?
Už tai, kad galėjome susipažinti ir tikrai daug sužinoti apie vandenyje gyvenančius vienaląsčius dumblius ir įvairias žiedadulkes esu dėkinga dr. Giedrei Vaikutienei ir, žinoma, nuostabiai biochemijos profilio mokytojai Danguolei Skladaitienei.
1D klasės mokinė Gerda Gabrielė Kirtiklytė


















